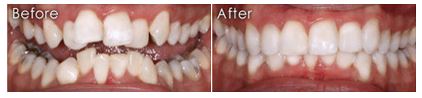
• Dr. Jean Larsen Affordable Our Technology in Murphy, TX - 75094

  • Dr. Jean Larsen Affordable Our Technology in Murphy, TX - 75094
  • Dr. Jean Larsen Affordable Our Technology in Murphy, TX - 75094
  • Dr. Jean Larsen Affordable Our Technology in Murphy, TX - 75094
  • Murphy, TX patients can enjoy convenient restorative dentistry with high quality, same day dental crowns. Call (972) 961 4244 to schedule an appointment
    • USD


Related ads

Outsource your Medical Billing services for Rehab Billing medical practice. Boost...

;

Best doctor for skin in Jaipur, Dr. Ajai Agarwal has vast experience in the field...

;

Medical Billers and Coders has provided Behavioral Health Medical Billing services...

;

MOST POPULAR

Buy the best natural mole removal cream online. If you have healthy skin moles that...

;

Our experienced team at Flex Dental is dedicated to providing our patients with the...

;

Outsource your Medical Billing services for Rehab Billing medical practice. Boost...

;

Comments